緑内障とは
眼の中には、房水という液体が循環しており、房水が作られては排出されていきます。このバランスが崩れると眼圧が上昇します。眼圧が高くなると、視神経が圧迫され、視野が欠ける等の緑内障の症状が現れます。視神経の丈夫さには個人差があるため、眼圧が正常値の範囲内でも緑内障を発症することもあります。
岐阜県の多治見市での疫学調査の結果、40歳以上の20人に1人は緑内障であること、眼圧が正常なタイプ(正常眼圧緑内障)の割合が多いことが判明しています。
多くの場合、症状が非常に緩やかに進行するため、40歳を超えたら、症状の有無に関係なく定期的に検査を受けることをおすすめします。
治療法には、点眼治療、レーザー治療、手術があります。
緑内障の症状
- 視野が欠ける
- 視野が狭くなる
- 眩しさ
- かすんで見える
- 急激な視力低下、眼や頭の激しい痛み、吐き気(急性緑内障発作)
※急性緑内障発作が疑われる場合、ただちに受診してください。
初期の緑内障では視野が欠けている自覚はないため、健診などの検査が重要となります。
原因
加齢、遺伝的要因、角膜の薄さ、低血圧、糖尿病など、さまざまなリスク因子が重なって発症します。
緑内障の種類
一口に“緑内障”といっても、さまざまなタイプの緑内障が存在します。
原発緑内障
下の項目の続発緑内障のように、特に他に原因となる病気がない緑内障です。いわゆる”緑内障”は原発開放隅角緑内障/正常眼圧緑内障のことをさすことが多いです。
- 原発開放隅角緑内障/正常眼圧緑内障
- 原発閉塞隅角緑内障
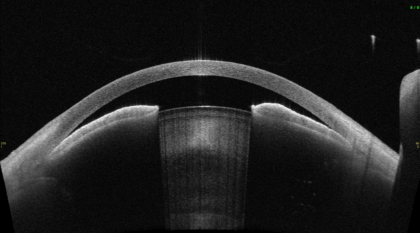
隅角とは
目の中で産生された房水は、隅角という黒目のフチの部分にある、線維柱帯という排水溝から目の外へ排出されます。この隅角が広いタイプが開放隅角、狭いタイプが閉塞隅角です。
隅角が狭いことによって眼圧上昇している場合は、目薬による治療ではなく、隅角を広げる治療(レーザー治療や白内障手術)を行います。
緑内障の治療なのに白内障手術?と疑問に思われるかもしれません。元々の人間の目の水晶体は4-5mm程度の厚みがありますが、白内障手術を行って人工レンズに置き換わると1mm程度の厚みになるため、狭かったスペースに十分な余裕が生まれます。
隅角が非常に狭く、眼圧が非常に上昇し緑内障発作となっている状態
白内障手術を行い、隅角が広がった状態
手術前後の画像を重ね合わせると、隅角が広がっていることがよくわかります
なお風邪薬や睡眠薬、内視鏡の処置の薬、泌尿器科の薬などの添付文章で”緑内障の方は医師とご相談ください”と記載されているのは、閉塞隅角の悪化による眼圧上昇リスクがあるということです。
閉塞隅角の方でも既にレーザー手術や白内障手術を受けて隅角が広がっている方の場合は、通常通り薬を使用可能です。
ステロイド薬については、隅角が狭くても広くても眼圧上昇のリスクがあります。
続発緑内障
二次的な原因で眼圧が上昇します。ステロイドの副作用(ステロイド緑内障)、糖尿などによる血流障害(血管新生緑内障)、落屑物質という白い粉が目の中にできて、それが目詰まりすることによる眼圧上昇(落屑緑内障)などがあります。
小児緑内障
小児期に発症する緑内障です。生後すぐに眼圧上昇することもあれば、小学生以降など大きくなってから発症することもあります。
緑内障の治療方法
緑内障の治療では、眼圧を下げて視神経を保護し、視野障害の進行にブレーキをかけることが目標です。
眼圧を下げる手段としては、点眼治療、レーザー治療、手術があります。通常はまず点眼治療を行いますが、十分な効果が得られない場合には、レーザー治療や手術を行います。
点眼
多くの緑内障においては、まずはじめに目薬で眼圧を下げることから治療ははじまります。
手術
目薬やレーザーでも眼圧の下降が不十分、視野の進行が続く場合は、手術を行なって眼圧を下降させる必要があります。各手術の詳細については、次の項目で詳しく説明します。
当院で行う緑内障手術の種類
iStent
シュレム管内にiStent(アイステント)という小さな金属製のチップを挿入し、房水の流れを良くすることで、眼圧の降下を図ります。
iStentを挿入する手術は、白内障手術と同時に行います。
※手術後も、一般的なMRI検査は問題なく受けられます。
線維柱帯切開術 (眼内法):マイクロフックトラベクロトミー
線維柱帯に特殊なフックを使って切れ込みを入れて、房水が排出されやすくすることで眼圧の降下を図る手術です。
手術後、房水は切り開かれた線維柱帯を介してシュレム管へと流れ込み、静脈へと吸収されるようになります。
プリザーフロ マイクロシャント
次にご紹介する線維柱帯切除術と同様に、結膜の下に房水が流れるバイパスを作る手術です。次の項目のトラベクレクトミーと手術のコンセプトは同じですが、インプラントを使用することで目への負担を少なくして、合併症のリスクを減らした手術です。
全長8.5㎜のデバイス(プリザーフロマイクロシャント)を白目の部分から眼内へと挿入し、白目の後方へ房水を排出するバイパス路を作成します。
線維柱帯切除術 :トラベクレクトミー
線維柱帯を部分的に切除し、房水の流れ出るバイパスを作る手術です。
結膜・強膜を切開し、線維柱帯、虹彩を一部切除します。結膜・強膜を縫合し、手術は終了です。
SLT(選択的レーザー線維柱帯形成術)
メスを使わないレーザーでの治療です。SLT(選択的レーザー線維柱帯形成術)では、線維柱帯にレーザーを照射することで目詰まりを解消し、房水の排出を促します。これにより、眼圧の降下が期待できます。
メスを使う手術と比べると目への負担は比較的少なく、治療時間も短いです。また、レーザー照射による痛みもありません。治療後、再度眼圧が上昇した場合には、視野や眼圧の状況により再度レーザー治療を行えることもあります。
手術後も定期的な診察が必要です
手術後も、合併症や他の眼疾患の早期発見・予防のため、定期的にご来院ください。医師の診察、検査、薬の処方などを行います。
術後は一時的な見えにくさを感じることが多いですが、経過とともに徐々に改善してくる方が多いです。(緑内障の視野障害の程度、術式によって個人差はあります。)
緑内障は、高血圧や糖尿病のように生涯にわたってケアが必要な病気です。長距離走のように長く病気と付き合うイメージで、患者さんの目の健康と生活を維持していけるように、当院がサポートいたします。通院中、何かご不明点、ご不安な点がございましたら、ご遠慮なくお尋ねください。

