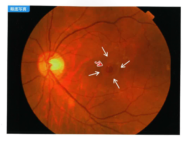
黄斑円孔とは
黄斑円孔とは、網膜の中心にある黄斑に、小さな穴(円孔)があく病気です。
眼球の大部分を占める硝子体は加齢によって液化し網膜から離れますが(後部硝子体剥離)、この際に黄斑が引っ張られて、孔があいてしまうことがあるのです。
黄斑円孔の症状
視機能を担う黄斑部に円孔があくと、すぐに見え方に変化が現れます。
主な症状として、中心部の急激な視力低下、歪みなどがあります。
反対目でカバーしてしまうと気が付かないこともあるので、見え方の違和感がある際は片目ずつ確認する必要があります。
見え方
- 歪んで見える
- 中心が暗く見える
- 見えづらい(視力低下)
黄斑円孔の原因
黄斑円孔の主な原因は加齢です。
加齢とともに硝子体が収縮して硝子体の後部が網膜から離れる (後部硝子体剥離)際に、硝子体と網膜の癒着が強いと黄斑部が引っ張られ、円孔が生じてしまいます。
その他、強度近視を原因とする近視性、眼球の打撲などを原因とする外傷性の黄斑円孔も見られます。
黄斑円孔の治療
黄斑円孔は自然治癒しないため硝子体手術が必要になります。
白目部分に小さな穴をあけ、そこから器具を挿入して硝子体を取り除きます。硝子体の代わりにガスを充填し、そのガスの圧力で円孔を抑え、閉じさせます。
手術後にうつぶせ寝の状態で過ごす必要があります。
黄斑前膜とは
黄斑前膜(上膜)とは、網膜の中心にある黄斑の上に、フィルムのような透明な膜が張る病気です。
黄斑が膜によって引っ張られて変形し皺がよることで、視力低下、ゆがんで見える等の症状が引き起こされます。
黄斑前膜の症状と原因
症状
- 視力低下
- 物が歪んで見える
- 左右の眼で物の大きさが違って見える
原因
主な原因は、加齢ですが、その他に網膜裂孔や炎症、糖尿病を原因として発症することもあります。
黄斑前膜を放置すると
黄斑前膜を放置していると、視力低下が進行し、物が歪んで見える症状が悪化すると、両眼で見ることが辛くなります(片眼をつぶった方が楽に感じます)。
放置しても失明に至ることはありませんが、早期に手術を行えば、それだけ症状の改善が期待できます。
黄斑前膜の治療
通常、初期の黄斑前膜では、定期的な検査を行いながら経過観察をします。黄斑前膜による黄斑の形態変化や視力低下が進行した場合、硝子体手術を行います。
白目部分に小さな穴をあけ、器具を挿入し、膜を取り除きます

